
Stress fractures in the feet are hairline cracks in the bone that often develop from repetitive force, rather than a single traumatic event. Stress fractures generally occur in the long bones of the foot, which endure significant impact during walking, running, and jumping. Overtraining, sudden increases in activity, or inadequate rest between workouts raise the risk. Foot structure also plays a role, with flat feet, high arches, or rigid arches contributing to uneven distribution of pressure that can stress certain bones. People with osteoporosis or low bone density are at higher risk, and nutritional deficiencies, such as inadequate calcium or vitamin D, may weaken bone strength. A podiatrist can confirm a diagnosis through examination and imaging, recommend appropriate footwear or orthotics, and advise whether surgery is required in severe cases. If you have symptoms of stress fractures in your feet, it is suggested that you make an appointment with a podiatrist for an exam, diagnosis, and treatment.
Activities where too much pressure is put on the feet can cause stress fractures. To learn more, contact one of our podiatrists from Premier Ankle & Foot Specialists. Our doctors can provide the care you need to keep your pain free and on your feet.
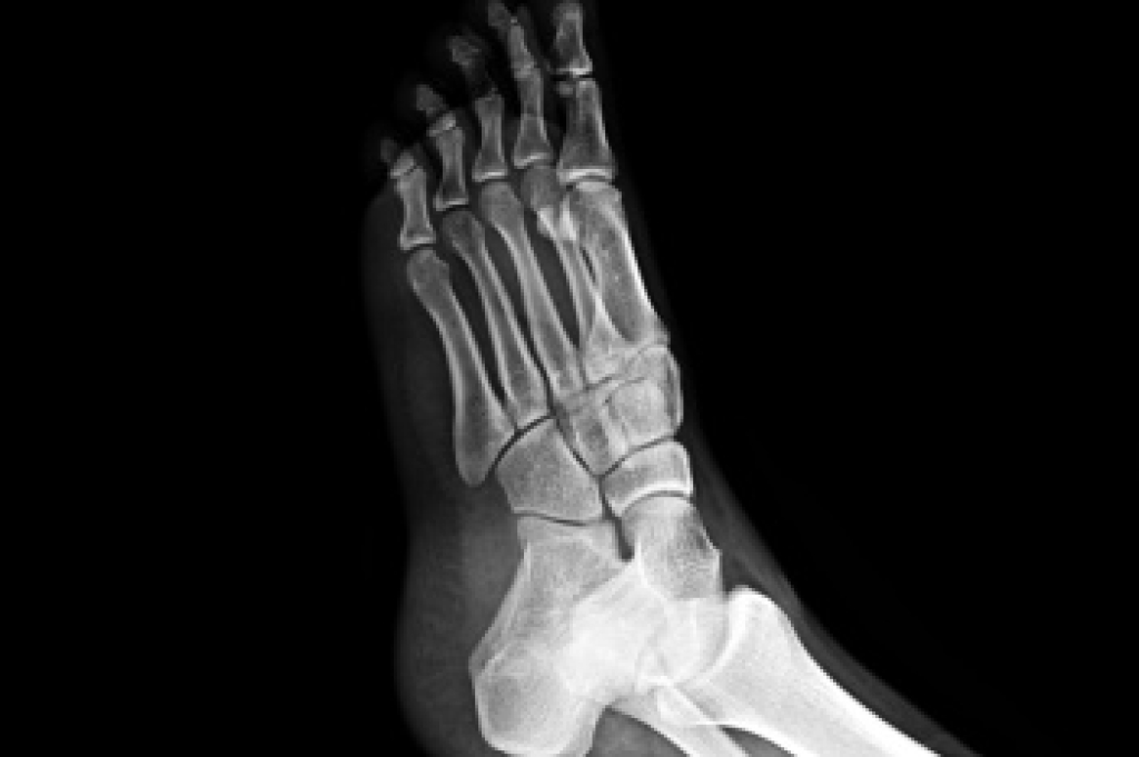
Dealing with Stress Fractures of the Foot and Ankle
Stress fractures occur in the foot and ankle when muscles in these areas weaken from too much or too little use. The feet and ankles then lose support when walking or running from the impact of the ground. Since there is no protection, the bones receive the full impact of each step. Stress on the feet can cause cracks to form in the bones, thus creating stress fractures.
What Are Stress Fractures?
Stress fractures occur frequently in individuals whose daily activities cause great impact on the feet and ankles. Stress factors are most common among:
- Runners
- People affected with Osteoporosis
- Tennis or basketball players
- Gymnasts
- High impact workouts
Symptoms
Pain from the fractures occur in the area of the fractures and can be constant or intermittent. It will often cause sharp or dull pain with swelling and tenderness. Engaging in any kind of activity which involves high impact will aggravate pain.
If you have any questions please contact our offices located in South York, West York, and East York, PA . We offer the newest diagnostic and treatment technologies for all your foot and ankle needs.